교정전문의 1인 원장체계로 정직한 진료, 퀄리티 높은 치료결과, 바뀌지 않는 평생주치의를 표방합니다.

덧니교정 악궁확장을 동반한 덧니 비발치 교정

페이지 정보

작성자 백상배치과교정과치과의원 댓글 0건 조회 122회 작성일 25-12-14 12:10

본문

b62b82d277caee0849af203f9a7326ec_1765681611_0652.png
 


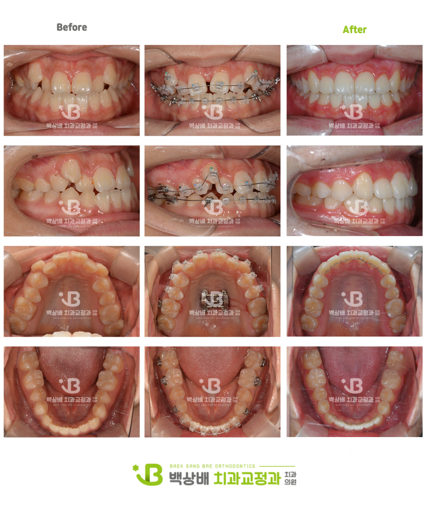
[치료 기간 : 2024.01.26~2025.10.24]


덧니가 있어 내원하신 환자분입니다.

아래턱이 약간 나온 안모로 발치 치료는 바람직하지 않아

상악 악궁 확장을 동반하여 덧니의 배열 공간을 확보하여 비발치로 치료하였습니다.

치료 기간은 약 1년 9개월 소요되었습니다.

댓글목록

등록된 댓글이 없습니다.