교정전문의 1인 원장체계로 정직한 진료, 퀄리티 높은 치료결과, 바뀌지 않는 평생주치의를 표방합니다.

소아교정 튀어나온 앞니 인비절라인 퍼스트

페이지 정보

작성자 백상배치과교정과치과의원 댓글 0건 조회 15회 작성일 26-04-12 16:06

본문

13b2fc7a861706e2f1019b112a4c7a92_1775977248_3618.png
13b2fc7a861706e2f1019b112a4c7a92_1775977255_3662.png


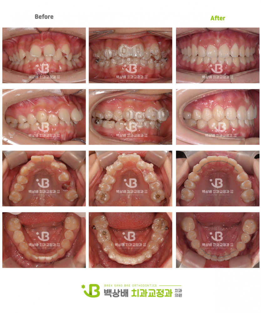
[치료 기간 : 2024.12.03~2026.03.07]

앞니가 벌어지면서 심하게 튀어나오고 덧니, 과개교합 등으로 치료받으신 환자분입니다.
인비절라인 퍼스트로 배열과 깊게 물리는 앞니 교합을 개선하였고,
고무줄 착용을 동반해 2급 교합에서 1급교합으로 개선되었습니다.

치료 완료 후 영구치 맹출 완료까지 검진 및 관찰중에 있습니다.
 

댓글목록

등록된 댓글이 없습니다.