교정전문의 1인 원장체계로 정직한 진료, 퀄리티 높은 치료결과, 바뀌지 않는 평생주치의를 표방합니다.

덧니교정 덧니 발치 교정

페이지 정보

작성자 백상배치과교정과치과의원 댓글 0건 조회 212회 작성일 25-10-03 16:52

본문

ffb835dda5450132fea70c04e24b89c3_1759477738_8204.png
ffb835dda5450132fea70c04e24b89c3_1759477738_3797.png



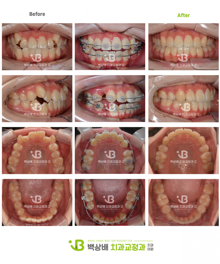
[치료 기간 : 2023.03.11~2025.07.22]

덧니로 인해 교정치료 받으신 환자분으로
치아 배열과 각도, 안모를 고려하여 발치 후 치료하였습니다. 
치료 후 올바른 치열과 교합은 물론 입술 위치까지 자연스럽게 개선되었습니다.
 

댓글목록

등록된 댓글이 없습니다.