교정전문의 1인 원장체계로 정직한 진료, 퀄리티 높은 치료결과, 바뀌지 않는 평생주치의를 표방합니다.

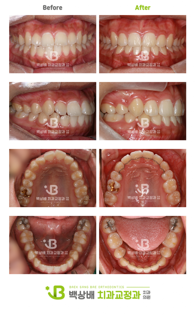
돌출입교정 돌출입교정 case.6

페이지 정보

작성자 백상배치과교정과치과의원 댓글 0건 조회 1,322회 작성일 20-12-16 11:30

본문

c5b48a4670f6cc944799054549e7665e_1608085777_7094.png
c5b48a4670f6cc944799054549e7665e_1608085777_9886.png

돌출입 개선을 위해 교정치료를 받으신 환자분으로
치료 후 입술도 자연스럽게 다물어지며 심미적으로 개선되었습니다 :)
 

댓글목록

등록된 댓글이 없습니다.