교정전문의 1인 원장체계로 정직한 진료, 퀄리티 높은 치료결과, 바뀌지 않는 평생주치의를 표방합니다.

돌출입교정 앞니 돌출 상악 편악 발치 교정

페이지 정보

작성자 백상배치과교정과치과의원 댓글 0건 조회 108회 작성일 26-01-01 16:44

본문

6b88c86cd511a6b3baf924668e4809b7_1767253286_0404.png
6b88c86cd511a6b3baf924668e4809b7_1767253289_0171.png



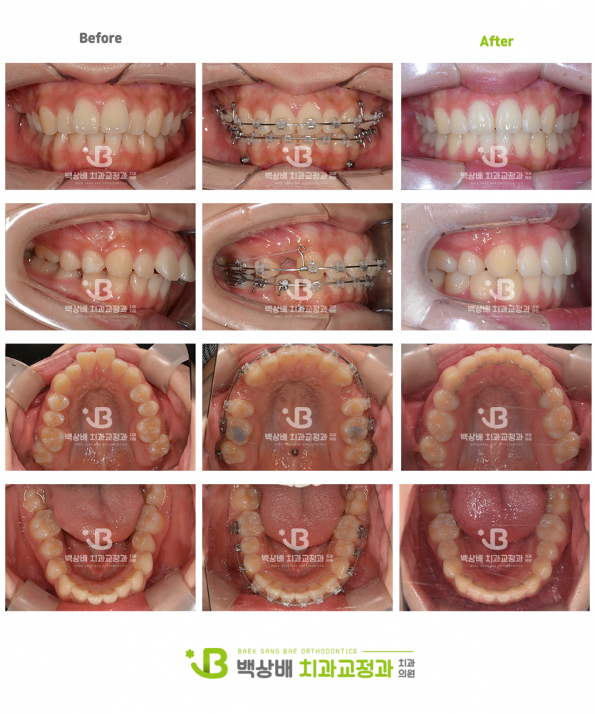
[치료 기간 : 2022.11.23~2025.09.03]

앞니 돌출을 주소로 내원하신 환자분입니다
위,아래 앞니간의 넓은 간격을 맞추기 위해 윗니만 발치 후 개선하였습니다.
치료 후 올바른 교합이 형성되고 입술의 돌출감도 해소되었습니다.
 

댓글목록

등록된 댓글이 없습니다.