교정전문의 1인 원장체계로 정직한 진료, 퀄리티 높은 치료결과, 바뀌지 않는 평생주치의를 표방합니다.

돌출입교정 돌출입 인비절라인 발치 교정

페이지 정보

작성자 백상배치과교정과치과의원 댓글 0건 조회 75회 작성일 26-02-08 12:29

본문

88ec071fc518877df64c5c94e2545b03_1770521279_1242.png
88ec071fc518877df64c5c94e2545b03_1770521281_5908.png


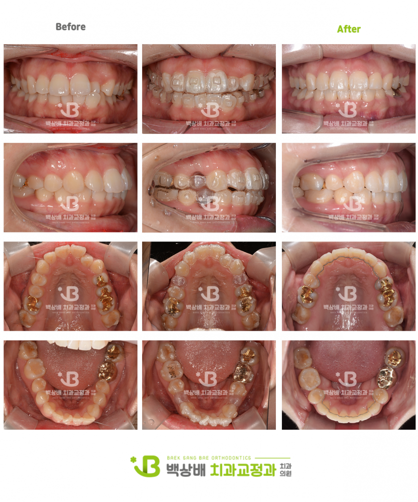
[치료 기간 : 2023.05.01~2026.01.24]

하악 무턱 경향으로 입술이 자연스럽게 다물어지지 않아
발치 교정으로 돌출입을 개선하신 환자분의 치료 사례입니다.
인비절라인 장치로 치료하셨으며 2번의 additional aligner를 제작하였습니다.
치료기간은 약 2년 8개월 소요되었습니다.

 

댓글목록

등록된 댓글이 없습니다.