교정전문의 1인 원장체계로 정직한 진료, 퀄리티 높은 치료결과, 바뀌지 않는 평생주치의를 표방합니다.

반대교합교정 반대교합교정 case.3

페이지 정보

작성자 백상배치과교정과치과의원 댓글 0건 조회 948회 작성일 22-05-04 12:14

본문

40cf952707c037d223357eda18e05a6d_1651633743_2547.png

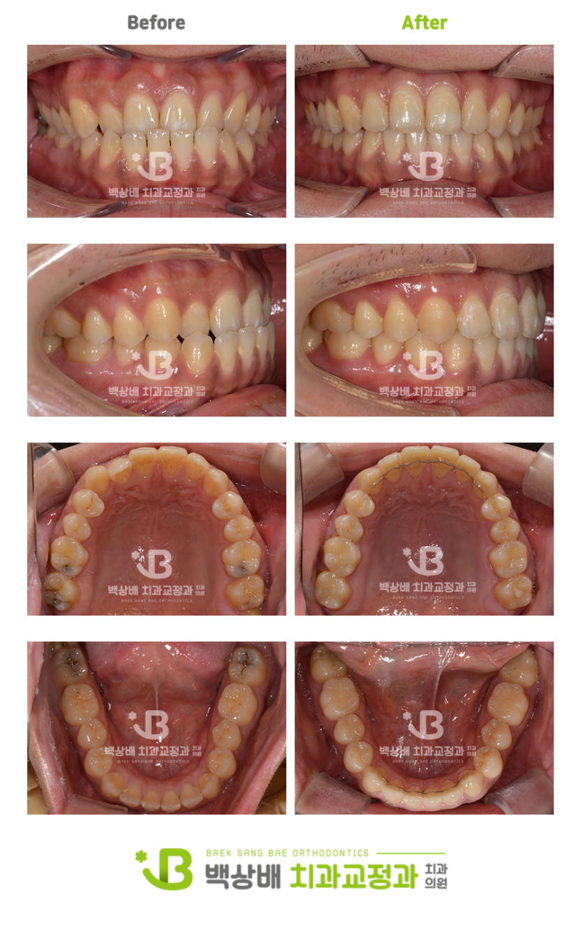
[치료기간 2020.12.30~2022.04.05]



앞니 반대교합으로 치료받으신 환자분의 사례입니다.

앞니가 반대로 물리면 교합력이 비정상적인 방향으로 가해지기때문에

오랫동안 방치한다면 앞니 건강에 좋지 않습니다.


영구치가 맹출하는 시기(만6세경)에 앞니가 반대로 물린다면 간단한 가철식 장치로 개선이 가능하지만

영구치가 모두 맹출된 후에는 치아교정이나 경우에 따라 양악수술이 필요한 경우도 있습니다.


위 환자분은 골격적으로 하악이 전돌 된 상태는 아니기때문에 치아교정을 통해 반대교합을 개선하였습니다.


댓글목록

등록된 댓글이 없습니다.