교정전문의 1인 원장체계로 정직한 진료, 퀄리티 높은 치료결과, 바뀌지 않는 평생주치의를 표방합니다.

비대칭교정 벌어진 앞니, 비대칭 반대 교합 교정 case

페이지 정보

작성자 백상배치과교정과치과의원 댓글 0건 조회 223회 작성일 25-09-18 16:13

본문

834e0596234485e8d356d61a7079f7d9_1758179302_2698.png
 


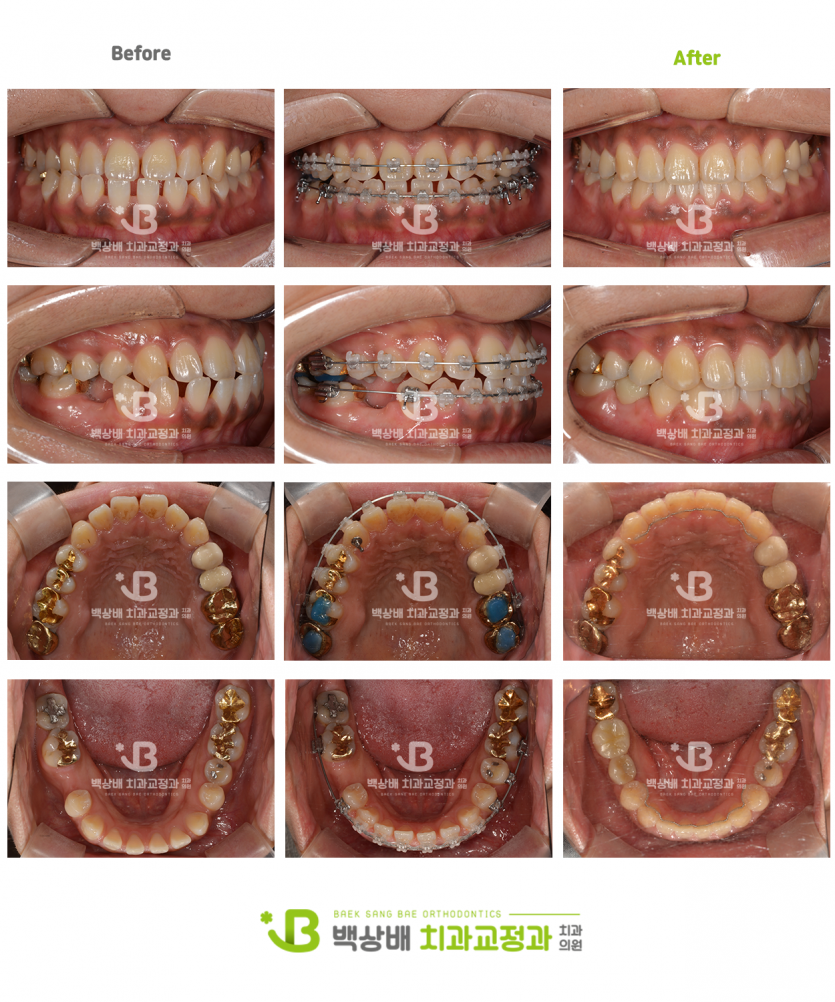
[치료 기간 : 2022.01.11~2025.05.14]


앞니가 벌어지고 하악의 우측 비대칭으로 인한 반대교합으로 치료받으신 환자분입니다.

교정치료를 통해 벌어진 앞니 공간들을 폐쇄하고 거꾸로 물리는 오른쪽 교합을 개선하였습니다.

오른쪽 작은어금니 결손부위는 임플란트 식립 후 치료를 마무리하였습니다.


댓글목록

등록된 댓글이 없습니다.