교정전문의 1인 원장체계로 정직한 진료, 퀄리티 높은 치료결과, 바뀌지 않는 평생주치의를 표방합니다.

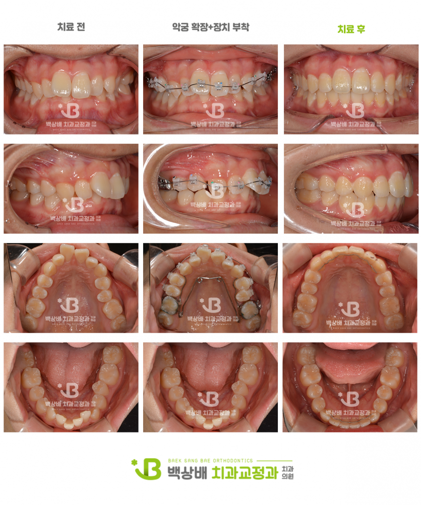
비발치교정 악궁 확장을 동반한 비발치 교정 case

페이지 정보

작성자 백상배치과교정과치과의원 댓글 0건 조회 1,047회 작성일 23-01-29 12:51

본문

597c96db0554e785e64343ce38ec7572_1674963444_1711.png
597c96db0554e785e64343ce38ec7572_1674963443_7531.png


치료 기간 : 2020.12.19~2022.11.18

좁은 악궁 형태로 인해 악궁 확장 장치를 동반하여 교정 치료 받으신 환자분의 증례입니다.
비교적 많이 좁아져있는 상악 소구치부를 확장하며 배열하여 튀어나와보이는 앞니가 후방으로 이동할 수 있도록 치료하였습니다.
발치 치료만큼 눈에 띄는 정도는 아니지만, 약간 돌출 된 입술도 개선되어 만족스러운 치료 결과를 얻은 사례입니다.
약 3개월간의 악궁 확장 기간을 포함하여 1년 11개월 소요되었습니다^^


 

댓글목록

등록된 댓글이 없습니다.