교정전문의 1인 원장체계로 정직한 진료, 퀄리티 높은 치료결과, 바뀌지 않는 평생주치의를 표방합니다.

비발치교정 비뚤배뚤한 앞니 인비절라인 교정

페이지 정보

작성자 백상배치과교정과치과의원 댓글 0건 조회 949회 작성일 23-06-22 19:06

본문

2de2035477b263bdaef62d8a63c36fe8_1687428078_0218.png



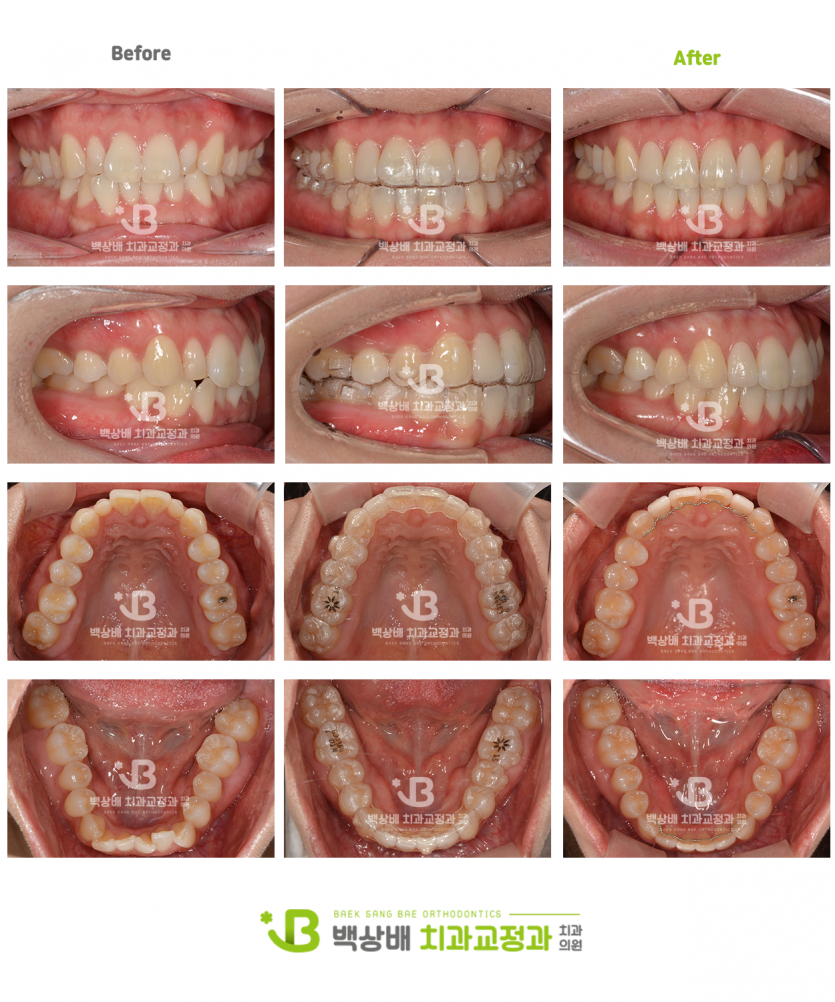
비뚤배뚤한 앞니 배열의 개선을 위해 교정치료 받으신 환자분입니다.

일반적인 고정식 교정장치가 아닌 투명교정장치인 인비절라인으로 치료 받으셨고

왜소치의 개선을 위해 마무리 시기에 보철치료를 동반하였습니다.


환자분의 높은 협조도로 약 1년만에 치료가 수월히 마무리 되었습니다.^^
 

댓글목록

등록된 댓글이 없습니다.