교정전문의 1인 원장체계로 정직한 진료, 퀄리티 높은 치료결과, 바뀌지 않는 평생주치의를 표방합니다.

소아교정 인비절라인 퍼스트 치료사례

페이지 정보

작성자 백상배치과교정과치과의원 댓글 0건 조회 841회 작성일 23-07-20 00:47

본문

57099af9080d1b57c6911786b0ed0d3a_1689781461_7646.png
 

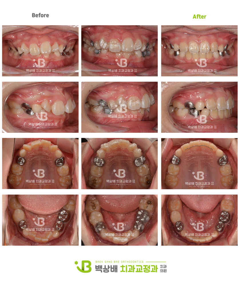
소아 투명교정 장치인 인비절라인 퍼스트로 치료 받으신 환자분의 사례입니다.

비뚤배뚤한 앞니, 영구치 맹출 공간 부족, 과개교합 등 여러가지 개선해야 할 부분이 있었고

환자분의 협조도가 훌륭하여 올바른 치열과 교합, 후속 영구치의 맹출공간 확보까지 최선의 치료 결과를 얻을 수 있었습니다 :-)

댓글목록

등록된 댓글이 없습니다.