교정전문의 1인 원장체계로 정직한 진료, 퀄리티 높은 치료결과, 바뀌지 않는 평생주치의를 표방합니다.

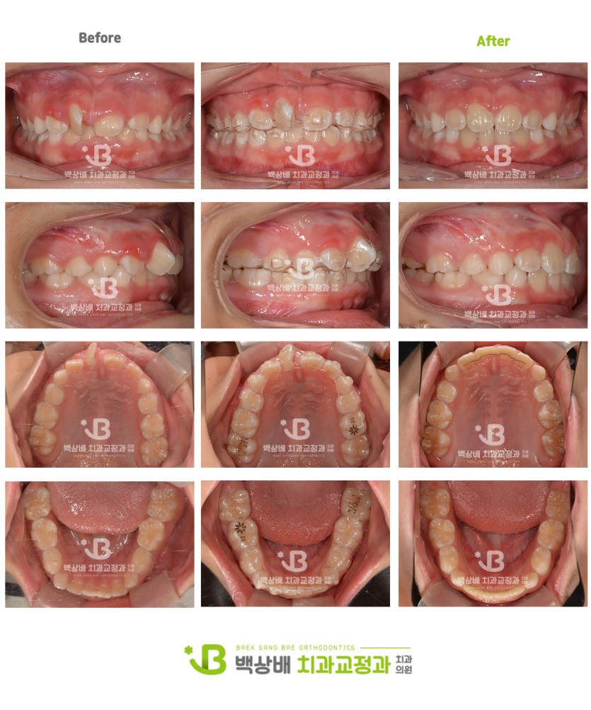
소아교정 심하게 회전된 앞니 인비절라인 퍼스트

페이지 정보

작성자 백상배치과교정과치과의원 댓글 0건 조회 209회 작성일 25-11-16 13:23

본문

1e76943f4750905f0897f8cf48fdedb3_1763266863_8146.png
1e76943f4750905f0897f8cf48fdedb3_1763266862_8327.png


[치료 기간 : 2024.11.16~2025.10.28]

앞니가 비정상적으로 회전된 환자분으로 치아 외상 방지 등을 위해 인비절라인 퍼스트로 치료하였습니다.
치료 완료 후 유지장치로 앞니가 다시 틀어지지 않게 유지하며 영구치 맹출 관찰 중에 있습니다.
 

댓글목록

등록된 댓글이 없습니다.